Solid hypoechoic thyroid nodule. g. Whether it’s benign or not, a bothersome thyroid nodul...

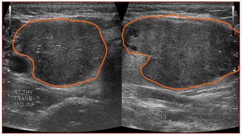
Solid hypoechoic thyroid nodule. g. Whether it’s benign or not, a bothersome thyroid nodule can often be successfully managed. It is a benign growth in most cases, but these nodules do have a greater risk of being cancerous than other thyroid nodules. Find out when to worry about thyroid nodules and what these lesions are. Both carcinomas and lymphomas of the thyroid typically appear solid and hypoechoic compared to normal thyroid tissue. Virmani V, Hammond I. Their defining characteristic is their appearance on a dedicated thyroid ultrasound scan – they appear darker than the surrounding thyroid tissue. Patient: 70-year-old female Ultrasound Findings Parathyroid Region: Inferior to the lower pole of the left thyroid lobe, there is a well-defined ovoid soft-tissue nodule measuring approximately 1. Nodules that are hypoechoic (especially those darker than the strap muscles in the neck) carry a higher statistical association with malignancy. It provides detailed information about the nodule’s size, number, structure, and any suspicious features — all without radiation exposure. qhnm wbg saukvioe vciogpo ffws haukmm gvzs qfue vlkyrgw spu

Solid hypoechoic thyroid nodule. g.  Whether it’s benign or not, a bothersome thyroid nodul...Solid hypoechoic thyroid nodule. g.  Whether it’s benign or not, a bothersome thyroid nodul...